Цифровые технологии
Мы используем современные инструменты — интраоральный сканер PrimeScan и программное обеспечение Exocad — чтобы точно моделировать
будущую улыбку в цифровом формате. Это позволяет заранее увидеть результат, согласовать форму и цвет виниров и добиться безупречной посадки.

Минимальное препарирование зубов
Мы придерживаемся принципа бережного отношения к зубам.
Виниры требуют минимального вмешательства — сохраняется максимальный объём собственной эмали, а тончайшие керамические пластинки создают визуально безупречную улыбку.

Точность и предсказуемый результат
Благодаря цифровому подходу и командной работе врача с зубным техником,каждый этап — от проекта до фиксации — максимально точен.
Это даёт предсказуемый результат, соответствующий ожиданиям пациента, и долгосрочную эстетику.

Цифровые
технологии
Мы используем современные инструменты — интраоральный сканер PrimeScan и программное обеспечение Exocad — чтобы точно моделировать будущую улыбку в цифровом формате. Это позволяет заранее увидеть результат, согласовать форму и цвет виниров и добиться безупречной посадки
минимальное
препарирование
зубов
Мы придерживаемся принципа бережного отношения к зубам.
Виниры требуют минимального вмешательства — сохраняется максимальный объём собственной эмали, а тончайшие керамические пластинки создают визуально безупречную улыбку.

Благодаря цифровому подходу и командной работе врача с зубным техником, каждый этап — от проекта до фиксации — максимально точен. Это даёт предсказуемый результат, соответствующий ожиданиям пациента, и долгосрочную эстетику.
точность и
предсказуемый
результат
Точность и предсказуемый результат
Мы придерживаемся принципа бережного отношения к зубам.
Виниры требуют минимального вмешательства — сохраняется максимальный объём собственной эмали, а тончайшие керамические пластинки создают визуально безупречную улыбку.

Минимальное препарирование зубов
Мы используем современные инструменты — интраоральный сканер PrimeScan и программное обеспечение Exocad — чтобы точно моделировать будущую улыбку в цифровом формате. Это позволяет заранее увидеть результат, согласовать форму и цвет виниров и добиться безупречной посадки.

Цифровые технологии
Благодаря цифровому подходу и командной работе врача с зубным техником, каждый этап — от проекта до фиксации — максимально точен. Это даёт предсказуемый результат, соответствующий ожиданиям пациента, и долгосрочную эстетику.

ПЕРВЫЙ ПРИЕМ
КОНСУЛЬТАЦИЯ
Осмотр
фотопротокол
сканирование зубов
сбор анамнеза
обсуждение пожеланий
пациента ПО ОБЪЕМУ, формЕ, цветУ
ЛАБОРАТОРНЫЙ ЭТАП
цифровое моделирование будущей улыбки
изготовление 3д моделей будущей улыбки
ВТОРОЙ ПРИЕМ
ПРИМЕРКА ПРОТОТИПОВ ПОВЕРХ СВОИХ ЗУБОВ,
ОЦЕНИВАЕТСЯ цифровое моделирование будущей улыбки,
изготовление 3д моделей будущей улыбки
начало работы : препарирование ( малоинвазивная обточка зубов) , снятие сканов /слепков , фиксируются временные виниры изготовленные по
ранее согласованному прототипу
ТРЕТИЙ ПРИЕМ
ЧЕТВЕРТЫЙ ПРИЕМ
примерка постоянных виниров , на этом этапе оценивается эстетика цвета , прозрачности , формы и проводится фиксация, фотопротокол
1 888 00 р.
1 647 000 р.
1 701 900 р.
910 550 р.
1 842 604 р.
990 000 р.
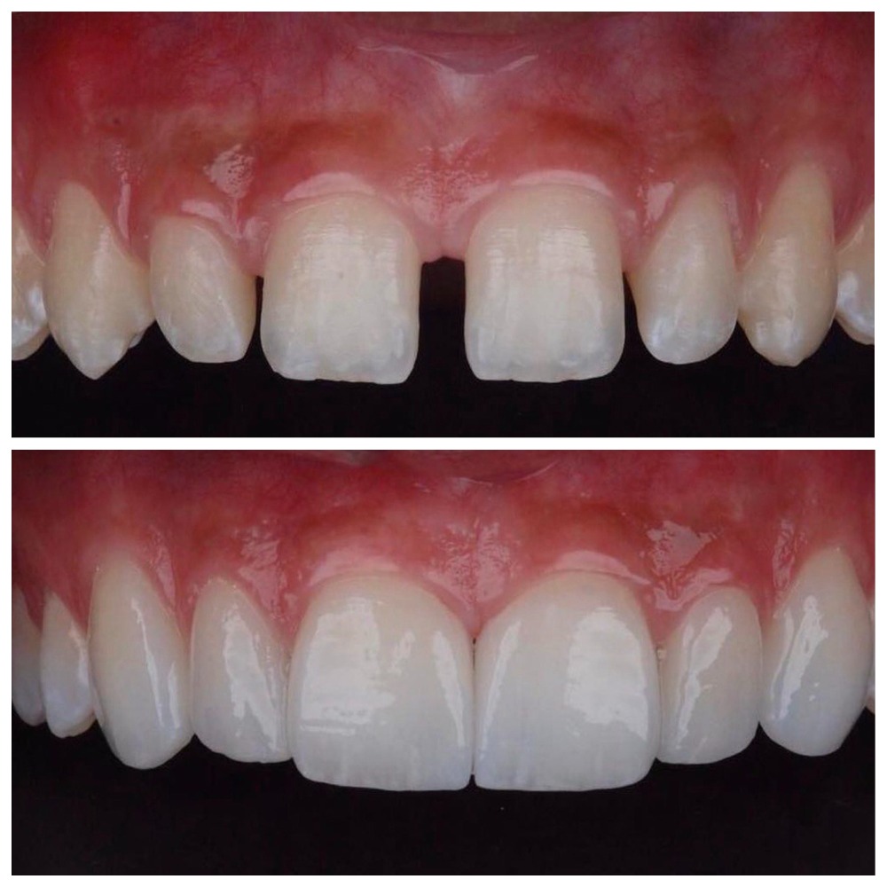
Кейсы
фото до и после
Запишитесь на прием
Оставьте свои контакты, мы свяжемся с вами,

проконсультируем по всем вопросам и предложим вариант лечения!

Made on
Tilda